메뉴 버튼
CLOSE 닫기
TOP

수술이 필요한 골절 치료,
최소 절개로 빠르게

골절 수술

골절 수술

골절은 외부에서 가해지는 외력에 뼈가 견딜 수 없어 뼈의 연속성이 단절되는 외상질환을 말합니다.
젊은 연령에서 운동 중 다치거나 자동차 사고 등 매우 강한 외력이 집중되어 발생하고 고령에서는 골다공증에 의해 뼈의 강도가 떨어져 미끄러 넘어지는 등 사소한 충격에 의해 발생합니다.

골절 부분에 대한 유합에 초점을 맞추기 보단
적극적인 재활과 이를 통한 완벽한 회복,
조기 일상 복귀를 지향합니다.

골절 치유를 위한 조건

골절 역학에 대한
깊은 이해

풍부한 수술 슬기

체계적인 재활

부위별 골절

고관절 골절

고관절 골절의 대부분은 고령 환자에게서 발생하며 골다공증에 의해 골강도가 현저히 떨어져 있는 상태로 사소한 외상에 의해 발생하게 됩니다.

고관절 골절에서 발생하는 문제점

□ 장기 침상 생활에 의한 합병증(욕창, 폐렴) 발생

□ 내과적 기저 질환에 의한 합병증

□ 동반 손상에 의한 부상 (척추, 손목 골절)

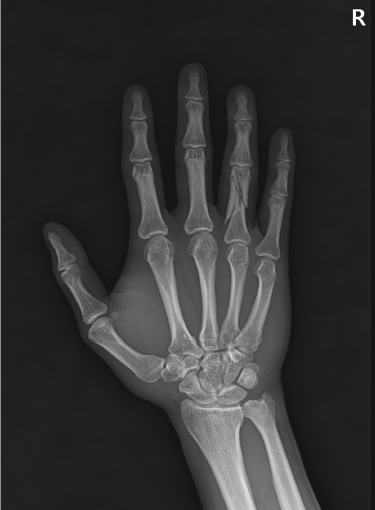
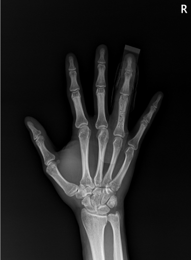
손목 골절 및 손가락 골절

대부분 손을 짚고 넘어지면서 발생하는 골절이고 다치면서 손등 쪽 뼈가 심하게 분쇄되는 경우가 많습니다.
골절 초기나 아니면 지연성으로 골절편이 손등 쪽으로 휘어져 변형이 발생하기 쉽습니다.

손목&손가락 골절에서 발생하는 문제점

□ 골절을 유합 시키기 위해 장기간 깁스를 할 경우 손목 관절이나 손가락 강직 발생

□ 손목 관절을 정확히 정복하지 못할 경우 외상성 관절염 발생 위험 높음

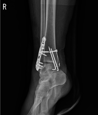
발목 골절

발목 골절은 심하게 접질리면서 발생하게 됩니다. 발목에는 안쪽과 바깥쪽으로 복사 뼈가 있고 중앙에 관절면을 이루는 경골과 거골이 마주하고 있는데 가장 흔한 골절이 내측 혹은 외측 복사뼈 골절입니다.

발목 골절에서 발생하는 문제점

□ 대부분 관절 내 골절로 체중이 작은 관절 면적에 집중되어 외상성 관절염 위험이 높음

□ 심하게 접질리면서 인대 혹은 관절 연골 손상이 동반

□ 발목은 혈류 공급에 취약해 연부 조직이 불량해지거나 수술 시 감염 발생 위험 높음

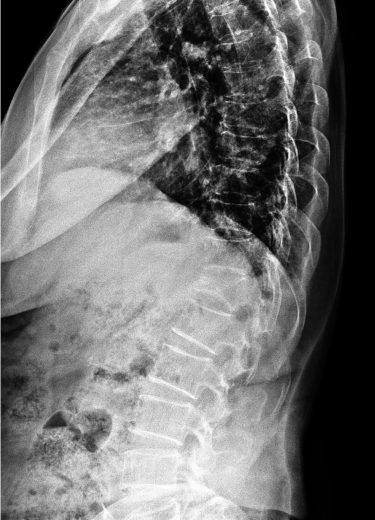
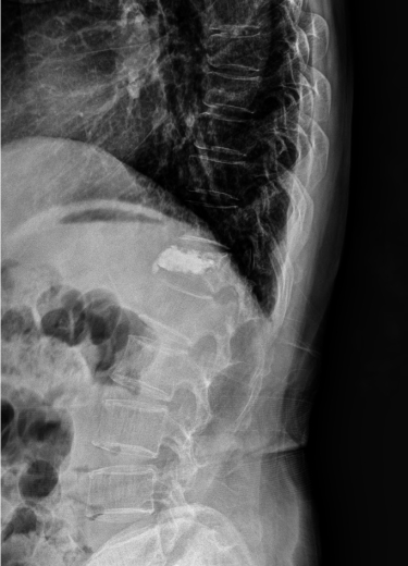
척추 골절

교통사고나 낙상 등에 의한 충격에 척추 골절이 발생하기도 하며, 대부분 고연령층에서 골다공증성 골절로 발생하는 경우가 많습니다.
척추압박골절은 골절 유합은 물론 장기적인 합병증이 발생하지 않도록 주의해야 합니다.
또, 대부분 고령 환자이거나 내과적 기저질환을 앓고 있는 환자로 심각함 골다공증 상태에서 척추 손상이 재발하면 추가적인 골절 위험성이 매우 크므로 골절 치료뿐 아니라 주기적인 골다공증 검사 및 예방으로 환자의 전신상태를 관리해 주는 게 중요합니다.

척추 골절에서 발생하는 문제점

□ 2차적인 변형을 초래할 수 있어 이로 인해 신경압박이나 만성 신경병증 후유증이 남을 수 있음

골절 수술 치료법
치료
사례

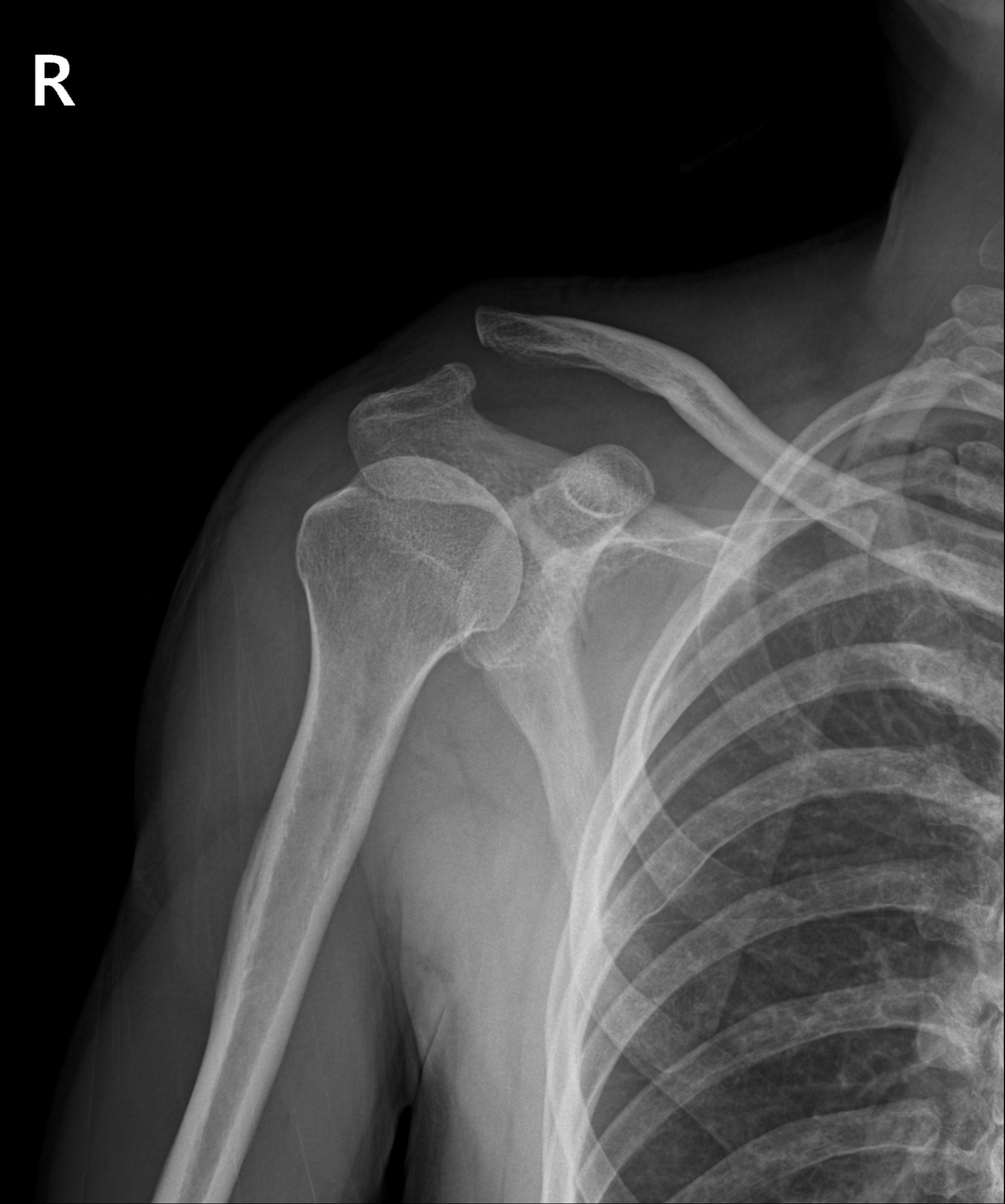
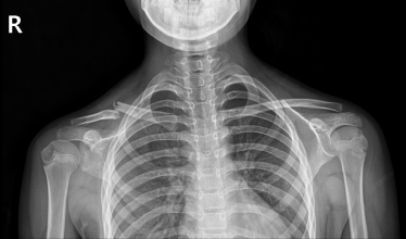
견쇄관절 탈구

2022.10.04

2022.12.27

고난도 골절

2023.03.24

2023.03.31

2023.03.24

2023.03.31

소아 골절

2023.02.09

2023.03.29

2023.02.14

2023.02.16

손가락 골절

2022.11.23

2023.03.17

손목 골절

2023.01.04

2023.03.20

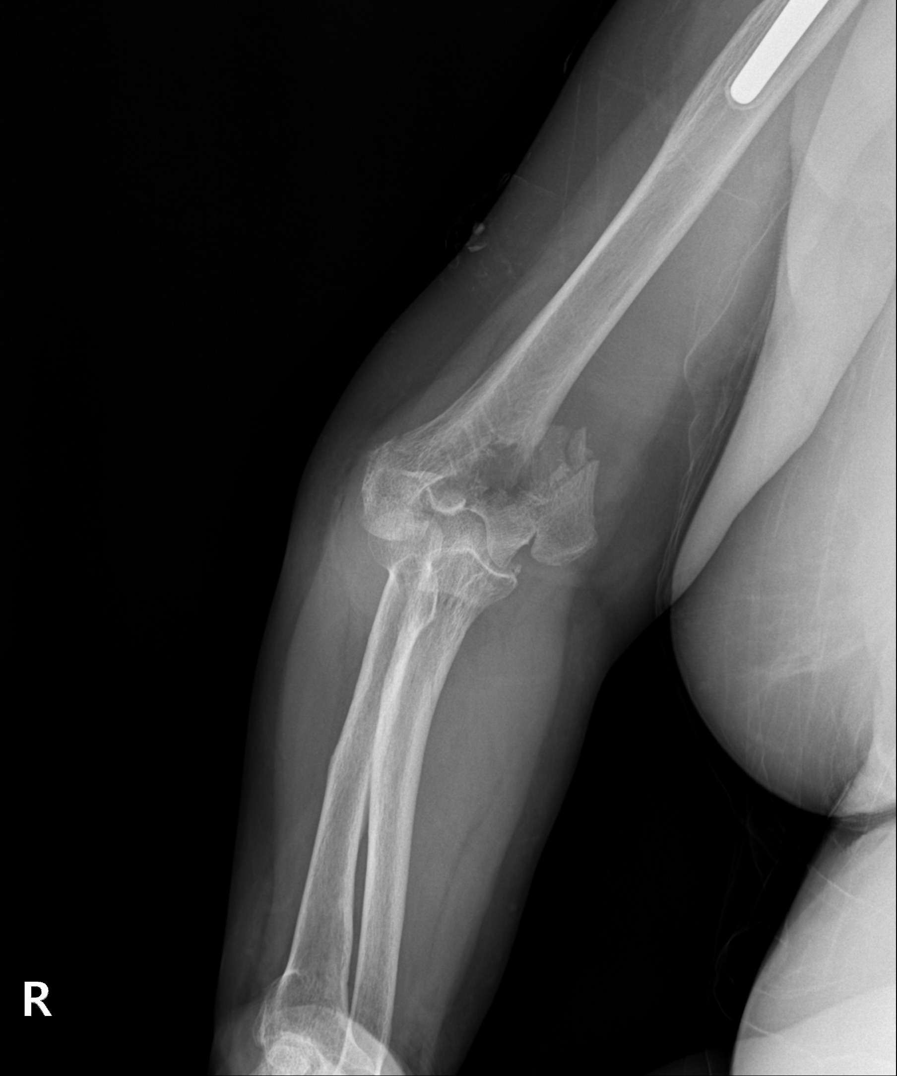
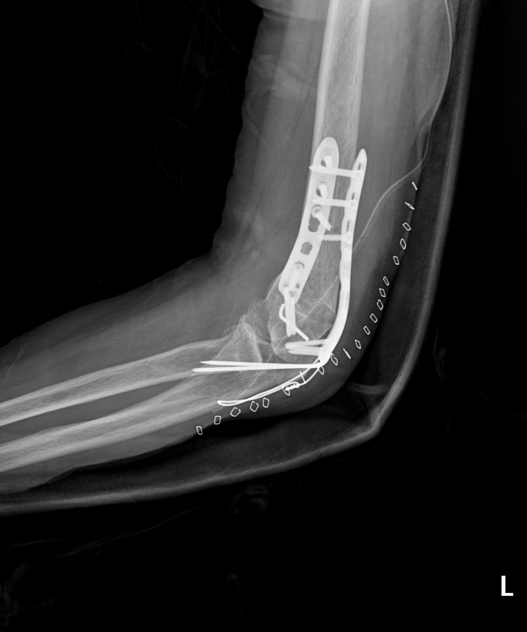
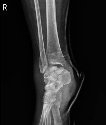
원위 상완골 골절

2022.07.14

2023.02.07

2022.07.14

2023.02.07

발목 골절

2016.08.22

2016.08.23

척추 골절

2021.12.21

2021.12.27

ㆍ환자 동의를 받은 자료이며, 이미지 사진은 실물과 다를 수 있습니다.

ㆍ모든 자료는 새움병원 자료입니다.

골절 수술 후 재활

골절 치료 후에는 일상생활로 돌아가기 위해 재활치료를 받는 것이 중요합니다.
재활이 원활히 이루어지지 않을 경우 영구적인 관절 강직이나 근력 저하,
추가 손상 등 후유증이 발생할 수 있습니다.
새움병원에서는 골절 후 강직 및 근육통, 근력저하에 대한 합병증을 예방하고 일상 복귀를 할 수 있도록
숙련된 치료사들에 의한 재활치료 및 물리치료를 시행합니다.

“새움병원은 골절 분야에서 세계 최고의 권위를 자랑하는
AO Foundation에서 주관하는 AO Trauma course
교육 및 수련을 받은 정형외과 전문의들이 있습니다.”

새움병원 이용 가이드

이용약관

제1장 총칙
제 1 조 (목적)
이 약관은 새움병원(이하 "회사"라 합니다)이 제공하는 웹사이트 및 주문앱 서비스(이하 "서비스"라 합니다)의 이용조건 및 절차, 기타 필요한 사항을 규정함을 목적으로 합니다.

제 2 조 (약관의 효력과 변경)
① 이 약관은 그 내용을 회사가 웹사이트 및 주문앱에 게시하거나 기타의 방법으로 회원에게 공지함으로써 그 효력이 발생합니다.

② 회사는 합리적인 사유가 있는 경우 이 약관을 변경할 수 있으며, 변경된 약관은 제1항과 같은 방법으로 게시 또는 공지함으로써 효력이 발생합니다.

③ 회원은 변경된 약관에 동의하지 않으면 언제든지 서비스 이용을 중단하고 이용계약을 해지할 수 있습니다. 약관의 효력발생일 이후의 계속적인 서비스 이용은 약관의 변경사항에 동의한 것으로 간주됩니다.

제 3 조 (약관 외 준칙)
이 약관에 명시되지 않은 사항은 전기통신기본법, 전기통신사업법, 정보통신망 이용촉진 등에 관한 법률, 전자거래기본법, 전자서명법 및 기타 관련 법령의 규정에 따릅니다.

제 4 조 (용어의 정의)
① 이 약관에서 사용하는 용어의 정의는 다음과 같습니다.

1.회원 : 회사와 서비스 이용에 관한 계약을 체결하고 이용자 아이디를 부여 받은 자
2.아이디(ID) : 회원 식별과 회원의 서비스 이용을 위하여 회원이 선정하고 회사가 승인하는 문자, 숫자 또는 양자의 조합 3.비밀번호 : 회원의 본인 확인과 비밀 보호를 위해 회원 자신이 설정한 문자, 숫자 또는 양자의 조합
4.이용계약 : 서비스를 제공받기 위하여 이 약관으로 회사와 회원 간에 체결하는 계약
5.해지 : 회사 또는 회원이 서비스 개통 후 이용계약을 해약하는 것
6.운영자 : 서비스의 전반적인 관리와 원활한 운영을 위하여 회사에서 선정한 사람
② 제1항의 용어를 제외한 용어의 정의는 거래 관행 및 관계 법령에 따릅니다.

제2장 서비스 이용계약의 체결
제 5 조 (서비스의 구분)
① 회사가 회원에게 제공하는 서비스는 기본서비스와 부가서비스 등으로 구분합니다.

② 서비스의 구체적인 종류와 내용은 회사가 이 약관 또는 공지, 이용 안내 등에서 별도로 정하는 바에 따릅니다.

제 6 조 (이용계약의 성립)
이용계약은 서비스를 이용하고자 하는 자의 이용 신청에 대한 회사의 이용 승낙으로 성립합니다.

제 7 조 (이용 신청)
① 서비스를 이용하고자 하는 자는 회사 웹사이트 및 주문앱의 "회원가입" 메뉴에서 회원 약관에 동의하면 회사 소정의 가입신청 양식에 요구하는 사항을 기재하고 '가입' 버튼을 누르면 됩니다.

② 회원 가입을 하면 이 약관에 동의하는 것으로 간주됩니다.

③ 온라인 가입 신청 양식에 기재하는 모든 회원 정보는 실제와 일치하는 데이터인 것으로 간주됩니다. 실명이나 실제와 일치하는 정보를 입력하지 않은 자는 법적인 보호를 받을 수 없으며 서비스의 이용을 제한 받을 수 있습니다.

제 8 조 (이용 신청의 승낙)
회사는 제7조의 규정에 의한 이용 신청에 대하여 원칙적으로 즉시 이용 신청을 승낙하며, 이용 승낙의 사실을 회원에게 전자우편으로 통보합니다.

제 9 조 (이용 신청의 불승낙 및 보류)
① 회사는 다음 각 호에 해당하는 경우 이용 신청에 대하여 승낙을 하지 않을 수 있습니다.

1. 가명, 차명, 허무인 명의 기타 이용신청자 본인의 실제 성명과 다른 명의에 의한 신청
2. 이용 신청 시 가입신청 양식상의 기재 사항을 허위로 하여 신청한 경우
3. 이용신청자가 회사의 채무자로서 채무를 완제하지 않고 있는 경우
4. 이용신청자가 이 약관 제23조 제2항에 의거하여 이용계약이 해지된 적이 있는 경우
5. 기타 이용신청자의 귀책사유로 이용 승낙이 곤란한 경우
② 회사는 다음 각 호에 해당하는 경우에는 그 사유가 해소될 때까지 이용 승낙을 보류할 수 있으며, 그 사유를 웹사이트 및 주문앱에 공지합니다.

1. 설비의 여유가 없는 경우
2. 기술 상 또는 업무 수행 상 지장이 있는 경우
제 10 조 (이용계약 사항의 변경)
① 회원은 이용 신청 시 기재한 사항이 변경되었을 경우에 온라인으로 수정합니다.

② 회원의 이용 신청 시 기재사항의 미변경 또는 허위 변경으로 인하여 발생되는 문제에 대한 책임은 회원에게 있습니다.

③ 회사는 다음 각 호에 해당하는 경우에 직권에 의하여 아이디의 사용을 제한하거나 회원의 신청에 의하여 아이디를 변경할 수 있습니다.

1. 아이디가 미풍양속을 해하는 경우
2. 아이디가 회원의 사생활을 침해할 우려가 있는 경우
3. 기타 합리적인 사유가 있는 경우
제3장 서비스의 이용
제 11 조 (서비스의 이용 개시)
회사는 제8조의 규정에 따라서 이용신청을 승낙한 때로부터 즉시 서비스를 개시합니다. 다만, 회사의 업무상 또는 기술상의 장애로 인하여 즉시 서비스를 개시하지 못하는 경우, 회사는 이를 회사의 웹사이트 및 공지하거나 회원에게 통지하여야 합니다.

제 12 조 (서비스의 내용)
①회사가 제공하는 서비스는 다음과 같습니다.

1. 당사 제품의 소개
2. 각종 이벤트
3. 제품 구입처 안내
4. 게시판 서비스
② 회사는 필요한 경우 서비스의 내용을 추가 또는 변경할 수 있으며, 추가 또는 변경 내용은 회사의 및 주문앱에 공지합니다.

제 13 조 (서비스의 이용 요금)
① 별도로 표시된 유료 서비스를 제외한 모든 서비스는 회원들에게 무료로 제공됩니다.

제4장 계약당사자의 권리와 의무
제 14 조 (개인 정보의 보호)
① 회사는 정보통신망이용촉진 등에 관한 법률 등 관계 법령에 따라 이용 신청 시 제공받은 회원의 개인 정보, 추후에 추가로 제공받는 개인 정보 및 서비스 이용 중 생성되는 개인 정보를 보호합니다.

② 개인 정보의 수집 목적 및 이용 목적은 다음 각 호와 같으며, 회사는 회원의 별도의 사전 동의 없이 이 목적을 넘어서는 개인 정보의 수집 및 이용을 하지 않습니다.

1. 서비스의 제공
2. 서비스를 위한 회원의 관리
③ 회사는 개인 정보를 회원의 별도의 사전동의 없이 제3자에게 제공하지 않습니다. 다만, 다음 각 호의 경우에는 회원의 별도의 동의 없이 제3자에게 회원의 개인 정보를 제공할 수 있습니다.

1. 법령에 특별한 규정이 있는 경우
2. 서비스 제공에 따른 요금정산을 위하여 필요한 경우
3. 통계작성, 학술연구 또는 시장조사를 위하여 필요한 경우로서 특정 개인을 식별할 수 없는 형태로 제공되는 경우
④ 회원은 언제든지 자신의 개인 정보를 열람할 수 있으며, 오류를 수정할 수 있습니다. 열람 및 수정은 원칙적으로 이용 신청과 동일한 방법으로 하며, 자세한 방법은 별도로 정한 "개인정보보호정책" 및 이용안내에 정한 바에 따릅니다.

⑤ 회원은 언제든지 개인 정보의 수집 및 이용에 대한 동의, 고지 또는 명시된 범위를 초과하는 이용 및 제3자 제공에 대한 동의를 철회할 수 있으며, 이 경우 회사는 지체 없이 필요한 조치를 취합니다. 다만 회원이 개인 정보의 수집 및 이용에 대한 동의를 철회한 경우에 회사는 이용계약을 해지할 수 있습니다.

⑥ 회사의 개인 정보 관리책임자를 비롯한 개인정보보호에 관한 기타 사항은 별도로 정한 "개인정보보호정책"에 기재하여 공지합니다.

제 15 조 (회사의 의무)
① 회사는 이 약관이 정하는 바에 따라 지속적이고 안정적인 서비스를 제공하는 데 최선을 다해야 합니다.

② 회사는 회원의 신용정보를 포함한 개인신상정보의 보안에 대하여 기술적 안전 조치를 강구하고 관리에 만전을 기함으로써 회원의 개인정보 보안에 최선을 다해야 합니다.

③ 회사는 회원으로부터 제기되는 의견 및 불만사항이 정당하다고 판단되는 경우 그 사항을 신속히 처리하여야 합니다. 다만, 신속한 처리가 곤란한 경우에는 회원에게 그 사유와 처리 일정을 통지하여야 합니다.

④ 회사는 이용계약의 체결, 계약사항의 변경 및 해지 등 회원과의 계약 관련 절차 및 내용 등에 있어 회원에게 편의를 제공하도록 노력합니다.

⑤ 회사는 공정하고 건전한 운영과 지속적인 연구 개발을 통하여 양질의 서비스를 제공함으로써 고객만족을 극대화하여 인터넷 비즈니스 발전에 기여하도록 합니다.

제 16 조 (회원의 의무)
① 회원은 서비스를 이용함에 있어 다음 각 호의 행위를 하여서는 안됩니다.

1. 가명, 차명, 허무인 명의 기타 회원의 실제 성명명의에 의해 이용 신청을 하는 행위
2. 허위의 개인정보를 기재하거나 중복하여 가입하는 행위
3. 타인의 서비스 아이디 및 비밀번호를 도용하는 행위
4. 타인의 지적재산권을 침해하는 행위
5. 타인의 명예를 훼손하거나 사생활을 침해하는 행위
6. 게시판이나 대화실 등에서 욕설, 비방 또는 음란, 폭력적인 내용의 표현을 하는 행위
7. 과실 또는 고의로 허위의 정보를 공개 또는 유포하는 행위
8. 다량의 정보를 전송하거나 동일한 또는 유사한 내용의 정보를 반복적으로 게시하여 서비스의 안정적인 운영을 방해하는 행위
9. 광고성 정보를 수신자의 의사에 반하여 전자우편으로 일시에 다량으로 또는 지속적으로 전송하거나 게시판에 게시하여 다른 회원의 서비스 이용을 방해하는 행위
10. 정보통신설비의 오작동이나 정보 등의 파괴를 유발하는 컴퓨터 바이러스 등을 유포하는 행위
11. 회사의 서비스를 이용하여 얻은 정보를 회사의 사전 승낙 없이 복제 또는 유통시키거나 상업적으로 이용하는 행위
12. 회사의 정상적인 경영 또는 업무를 방해하거나 서비스의 운영을 방해하는 행위
13. 불법선거운동을 하는 행위
14. 기타 미풍양속을 해하거나 관련법령 및 이 약관을 포함하여 회사가 정한 이용 조건에 위반하는 행위
② 회원은 아이디 및 비밀번호의 관리에 상당한 주의를 기울여야 합니다. 아이디와 비밀번호에 관한 모든 관리 책임은 회원에게 있으며, 회원에게 부여된 아이디 및 비밀번호의 관리 소홀, 부정사용에 의하여 발생하는 모든 결과에 대한 책임은 회원에게 있습니다. 회원은 자신의 아이디 또는 비밀 번호가 부정하게 사용된 경우 반드시 회사에 그 사실을 통보하여야 합니다.

③ 회원은 회사의 사전 서면 동의 없이 서비스를 이용하여 영리적인 목적의 영업 행위를 하여서는 안됩니다. 이를 위반한 영업 행위의 결과에 대하여 회사는 책임을 지지 않으며, 이와 같은 영업 행위의 결과로 회사에 손해가 발생한 경우, 회원은 회사에 대하여 손해배상의 의무를

④ 회원은 명시적 동의가 없는 한 회사의 서비스의 이용 권한, 기타 이용계약 상의 지위를 타인에게 양도, 증여할 수 없으며, 이를 담보로 제공하거나 기타 처분할 수 없습니다.

제 17 조 (지적재산권 등)
① 회사가 작성하여 제공하는 서비스에 관한 저작권 및 기타 지적재산권은 회사에 속합니다. 회원은 회사가 제공하는 서비스를 회사의 사전동의 없이 영리 목적으로 복제, 전송, 출판, 배포, 방송 기타 방법에 의하여 이용하거나 제3자에게 이용하게 하여서는 안됩니다.

② 회원이 서비스에 게재한 게시물, 자료에 관한 권리와 책임은 게시한 회원에게 있습니다. 회사는 회원이 게재한 게시물, 자료에 대하여 서비스 내의 게재권을 가지며, 게재한 회원의 동의 없이 이를 영리적인 목적으로 사용하지 아니합니다.

③ 회사는 제19조의 의무를 위반하는 내용을 담고 있는 게시물에 대하여 수정 또는 삭제할 권한을 갖습니다. 이에 대한 구체적인 기준과 절차는 별도의 규정에 따릅니다.

제5장 서비스의 이용 제한 및 계약의 해지
제 18 조 (서비스 이용 제한 등)
① 회사는 회원이 제16조의 의무를 위반한 경우 회원의 서비스 이용을 일부 또는 전부 제한할 수 있습니다.

② 제1항의 규정에 의하여 회원의 서비스 이용을 제한하는 경우, 제한의 종류 및 기간 등 구체적인 기준은 별도의 규정에 따릅니다.

제 19 조 (이용 제한 및 제한 해제의 절차)
① 회사는 제18조의 규정에 의하여 이용제한을 하고자 하는 경우 그 사유, 일시 및 기간을 정해 전자우편 또는 전화 등의 방법에 의하여 해당 회원 또는 그 대리인에게 통지하여야 합니다. 다만 회사가 긴급하게 이용을 제한할 필요가 있다고 인정하는 경우에는 그러하지 아

② 제1항의 규정에 의하여 이용 제한의 통지를 받거나 긴급하게 이용 제한 조치를 받은 회원 또는 그 대리인은 전자우편 또는 서면의 방법에 의하여 회사에 이의를 제기할 수 있습니다.

③ 회사는 제2항의 규정에 의한 이의신청에 대하여 그 확인을 위한 기간까지 이용제한을 일시 연기할 수 있으며, 그 결과를 당해 회원 또는 그 대리인에게 통지합니다.

④ 회사는 이용 제한 기간 중 그 사유가 해소되는 등의 합리적인 사유가 있는 경우 이용 제한 조치를 해제합니다.

제 20 조 (계약의 해지)
① 회원은, 이용계약을 해지하고자 하는 경우, 회사 웹사이트 및 주문앱의 "회원탈퇴" 메뉴에서 탈퇴 신청을 하여야 합니다. 회사는 회원의 탈퇴 신청을 빠른 시간 내에 처리하여야 합니다.

② 회사는, 회원이 제19조의 의무를 위반한 경우 사전 통지를 거쳐 이용계약을 해지하고 회원탈퇴 처리할 수 있습니다. 다만, 그 내용이 중하여 회사의 정상적인 경영이나 업무 활동 또는 서비스 운영에 지장이 있는 경우 사전통지 없이 계약을 해지하고 탈퇴 처리를 할 수 있습니다. 그 구체적인 기준과 절차는 별도의 규정에 따릅니다.

③ 회사는, 제2항에 의하여 탈퇴 처리된 회원이 다시 이용 신청을 하는 경우, 그에 대한 승낙을 거절하거나 일정 기간 그 승낙을 보류할 수 있습니다.

제 21 조 (면책)
① 회사는 전시, 사변 등 국가비상사태, 천재지변, 기간통신사업자의 서비스 제공 중단, 전력공급 중단, 해커의 침입, 컴퓨터 바이러스 기타 이와 유사한 사정으로 인한 회사 시스템의 작동불능 기타 회사의 귀책 사유 없이 회사가 서비스를 제공할 수 없는 경우 회사는 그로 인한 책임을 면합니다.

② 회사는 이용고객이 회사의 서비스로부터 기대하는 이익을 얻지 못하거나 제공된 자료에 대한 취사선택 또는 이용으로 발생하는 손해 등에 대해서는 책임이 면제됩니다.

③ 회사는 회원이 게시, 전송한 정보 또는 자료의 내용과 관련하여서는 책임을 부담하지 않습니다.

④ 회사는 회원 상호간 또는 회원과 제3자 상호간에 서비스를 매개함으로 그들 사이에 발생한 분쟁에 관여할 의무가 없으며, 이로 인한 어떠한 손해도 배상할 책임이 없습니다.

제 22 조 (분쟁의 해결)
① 회사와 회원은 서비스와 관련하여 발생한 분쟁을 원만하게 해결하기 위하여 필요한 모든 노력을 하여야 합니다.

② 제1항의 규정에도 불구하고 회사와 회원 사이에 소송이 제기될 경우, 소송은 회사의 본사 소재지를 관할하는 법원을 관할법원으로 합니다

이메일무단수집거부

본 웹사이트에 게시된 이메일 주소가 전자우편 수집 프로그램이나 그 밖의 기술적 장치를 이용하여 무단으로 수집되는 것을 거부하며, 이를 위반시 정보통신망법에 의해 형사처벌됨을 유념하시기 바랍니다.
정보통신망이용촉진 및 정보보호등에 관한 법률 [일부개정 2002년 12월 18일 법률제06797호]제50조의2 (전자우편주소의 무단 수집행위 등 금지)

1누구든지 전자우편주소의 수집을 거부하는 의사가 명시된 인터넷 홈페이지에서 자동으로 전자우편주소를 수집하는 프로그램 그 밖의 기술적 장치를 이용하여 전자우편주소를 수집하여서는 아니된다.
2누구든지 제1항의 규정을 위반하여 수집된 전자우편주소를 판매·유통하여서는 아니된다.
3누구든지 제1항 및 제2항의 규정에 의하여 수집·판매 및 유통이 금지된 전자우편주소임을 알고 이를 정보전송에 이용하여서는 아니된다.

제65조의2 (벌칙) 다음 각호의 1에 해당하는 자는 1천만원 이하의 벌금에 처한다.

1제50조제4항의 규정을 위반하여 기술적 조치를 한 자
2제50조제6항의 규정을 위반하여 영리목적의 광고성 정보를 전송한 자
3제50조의2의 규정을 위반하여 전자우편주소를 수집ㆍ판매ㆍ유통 또는 정보전송에 이용한 자

본 웹사이트에 게시된 이메일 주소가 전자우편 수집 프로그램이나 그 밖의 기술적 장치를 이용하여 무단으로 수집되는 것을 거부하며, 이를 위반시 정보통신망법에 의해 형사처벌됨을 유념하시기 바랍니다.
정보통신망이용촉진 및 정보보호등에 관한 법률 [일부개정 2002년 12월 18일 법률제06797호]
제50조의2 (전자우편주소의 무단 수집행위 등 금지)

1누구든지 전자우편주소의 수집을 거부하는 의사가 명시된 인터넷 홈페이지에서 자동으로 전자우편주소를 수집하는 프로그램 그 밖의 기술적 장치를 이용하여 전자우편주소를 수집하여서는 아니된다.
2누구든지 제1항의 규정을 위반하여 수집된 전자우편주소를 판매·유통하여서는 아니된다.
3누구든지 제1항 및 제2항의 규정에 의하여 수집·판매 및 유통이 금지된 전자우편주소임을 알고 이를 정보전송에 이용하여서는 아니된다.

제65조의2 (벌칙) 다음 각호의 1에 해당하는 자는 1천만원 이하의 벌금에 처한다.

1제50조제4항의 규정을 위반하여 기술적 조치를 한 자
2제50조제6항의 규정을 위반하여 영리목적의 광고성 정보를 전송한 자
3제50조의2의 규정을 위반하여 전자우편주소를 수집ㆍ판매ㆍ유통 또는 정보전송에 이용한 자

개인정보처리방침

새움병원(이하 ‘회사’라 한다)이 취급하는 모든 개인정보는 관련법령에 근거하거나 정보주체의 동의에 의하여 수집, 보유 및 처리되고 있습니다. 회사는 개인정보취급방침을 개정하는 경우 웹사이트 공지사항을 통하여 공지할 것입니다.

본 방침은 2023년 01월 01일부터 시행됩니다.

1. 개인정보의 처리 목적
회사는 다음의 목적을 위하여 개인정보를 처리합니다. 처리하고 있는 개인정보는 다음의 목적 이외의 용도로는 이용되지 않으며, 이용목적이 변경되는 경우에는 별도의 동의를 받는 등 필요한 조치를 이행할 것입니다.
① 고객문의, 본인확인
② 민원사항 확인, 사실확인을 위한 연락, 처리결과 통보

2. 개인정보의 처리 및 보유기간
회사는 법령에 따른 개인정보 보유, 이용기간 또는 정보주체로부터 개인정보 수집 시에 동의 받은 개인정보 보유, 이용기간 내에서 개인정보를 처리 및 보유합니다.
① 민원처리 : 민원처리가 종료된 시점
② 상담을 위한 경우 : 상담이 종료된 시점
③ 관계법령 위반에 따른 수사·조사 등이 진행중인 경우에는 해당 수사·조사 종료시까지

3. 개인정보의 제3자 제공
회사가 수집·보유하고 있는 개인정보는 이용자의 동의 없이는 제3자에게 제공하지 않으며, 다음의 경우에는 개인정보를 제3자에게 제공할 수 있습니다.
① 정보주체로부터 별도의 동의를 받은 경우
② 법령의 법령의 규정에 의거하거나 수사 목적으로 법령에 정해진 절차와 방법에 따라 수사기관의 요구가 있는 경우

4. 수집한 개인정보의 위탁
회사는 고객의 동의 없이 개인정보를 외부업체에 위탁하지 않습니다. 향후 원활한 개인정보 업무처리를 위하여 개인정보를 위탁하는 경우, 위탁 대상자와 위탁 업무 내용에 대해 고객에게 통지하고 필요한 경우 사전 동의를 받도록 하겠습니다.

5. 정보주체의 권리·의무 및 행사방법
① 정보주체(해당 주체의 법정대리인 포함, 이하 동일)는 회사에 대해 언제든지 개인정보 열람요구, 정정·삭제 및 처리정지를 요구할 수 있습니다.
② 제 ①항에 따른 권리행사는 회사에 대해 서면, 전화, FAX 등을 통하여 요구할 수 있으며, 회사는 이에 대해 지체없이 조치하겠습니다.
③ 고객이 개인정보의 오류 등에 대한 정정·삭제를 요구한 경우에는 회사는 정정·삭제를 완료할 때까지 당해 개인정보를 이용하거나 제공하지 않습니다.
④ 제 ①항에 따른 권리행사는 고객의 법정대리인이나 위임을 받은 자 등 대리인을 통하여 하실 수 있습니다. 이 경우 개인정보보호법 시행규칙 별지 11호 서식에 따른 위임장을 제출해야 합니다.

6. 처리하는 개인정보 항목
① 수집항목 : 이름, 연락처, 이메일주소
② 수집방법 : 홈페이지(윤리강령, 온라인문의)

7. 개인정보의 파기
① 회사는 개인정보 보유기간의 경과, 처리목적의 달성 등 개인정보가 불필요하게 되었을 경우 지체없이 해당 개인정보를 파기합니다.
② 고객으로부터 동의 받은 개인정보 보유기간이 경과하거나 처리목적이 달성되었음에도 불구하고 다른 법령에 따라 개인정보를 계속 보존하여야 하는 경우에는, 해당 개인정보를 별도의 데이터베이스(DBMS)로 옮기거나 보관장소를 달리하여 보관합니다.
③ 회사는 전자적 파일형태로 기록·저장된 개인정보는 기록을 재생할 수 없도록 디가우징(Degaussing) 등의 방법을 이용하여 파기하며, 종이문서에 기록·저장된 개인정보는 분쇄기로 분쇄하거나 소각하여 파기합니다.

8. 개인정보의 안전성 확보 조치
회사는 개인정보의 안전성 확보를 위해 내부관리계획 수립·시행, 정기적 직원 교육, 개인정보처리시스템의 접근권한 관리, 전산실·자료보관실의 접근통제 등과 같은 조치를 취하고 있습니다.

9. 개인정보보호 관리책임자
① 회사는 개인정보 처리에 관한 업무를 총괄해서 책임지고, 개인정보 처리와 관련한 고객의 불만처리 및 피해구제 등을 위하여 아래와 같이 개인정보 관리책임자를 지정하고 있습니다.

개인정보보호 관리책임자
성명 : 박요한
전화 : 1577-7015
메일 : saeumhospital@daum.net

개인정보보호 담당자
성명 : 박요한
전화 : 1577-7015
메일 : saeumhospital@daum.net

② 고객께서는 회사의 서비스(또는 사업)를 이용하시면서 발생한 모든 개인정보보호 관련 문의, 불만처리, 피해구제 등에 관한 사항을 개인정보 관리책임자 및 담당부서로 문의하실 수 있으며, 회사는 고객의 문의에 대해 지체없이 답변 및 처리해드리겠습니다.

10. 권익침해 구제방법
정보주체는 개인정보 침해로 인한 구제를 받기 위하여 개인정보분쟁조정위원회, 한국인터넷진흥원 개인정보침해신고센터 등에 분쟁해결이나 상담 등을 신청할 수 있습니다. 이 밖에 기타 개인정보침해의 신고 및 상담에 대하여는 아래의 기관에 문의할 수 있습니다.
① 개인정보분쟁조정위원회(www.kopico.go.kr) : 02-2100-2499
② 대검찰청 (www.spo.go.kr) : (국번없이) 1301
③ 경찰청 사이버안전국(http://cyberbureau.police.go.kr/) : (국번없이) 182

11. 개인정보취급방침의 변경
본 개인정보취급방침은 2015년 03월 12일부터 적용됩니다.
이전의 개인정보취급방침은 아래에서 확인할 수 있습니다.